Az ideális, harmonikus fej-nyaki komplexum
                    jellemzői
                  
                  
                  
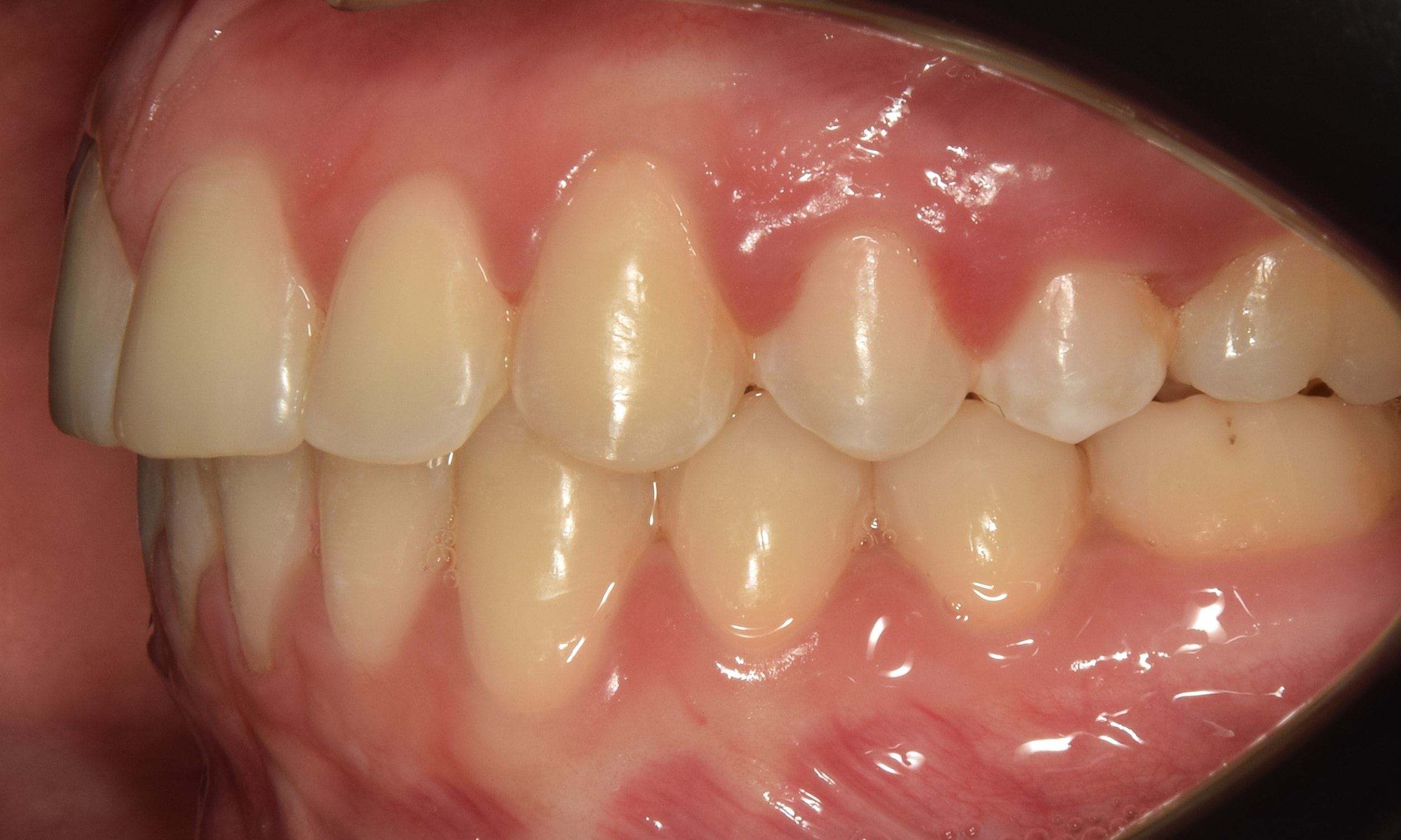
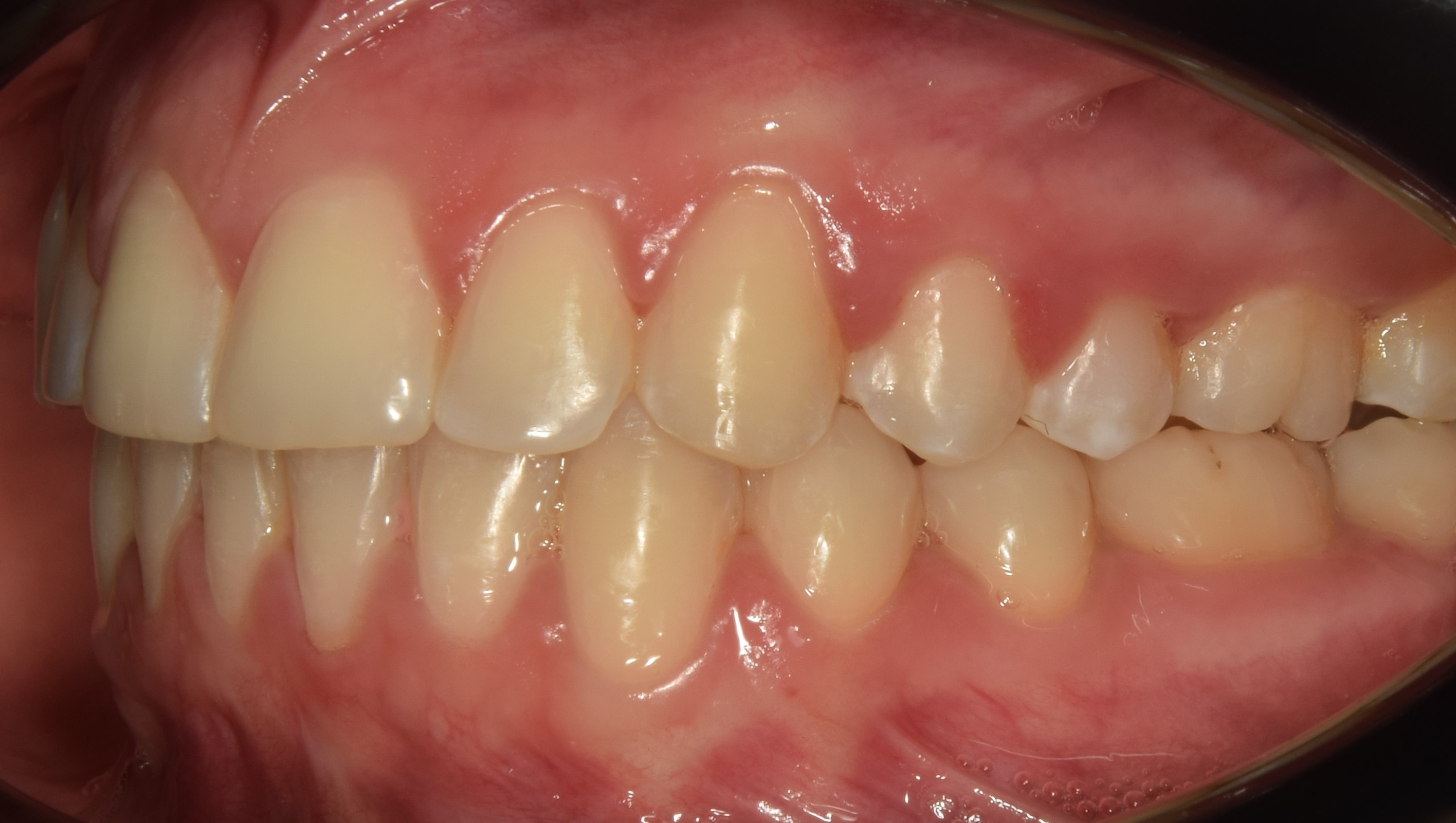
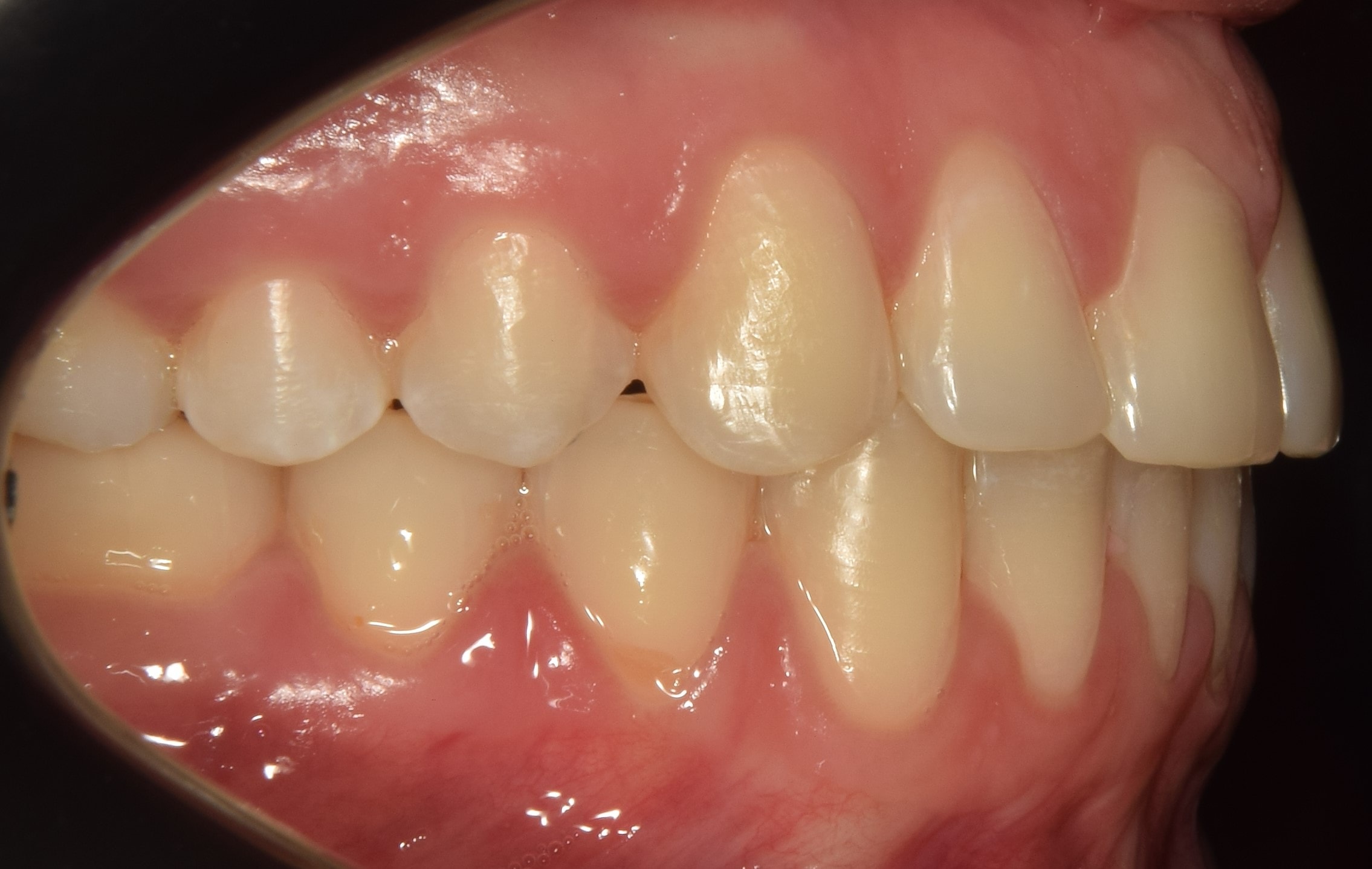
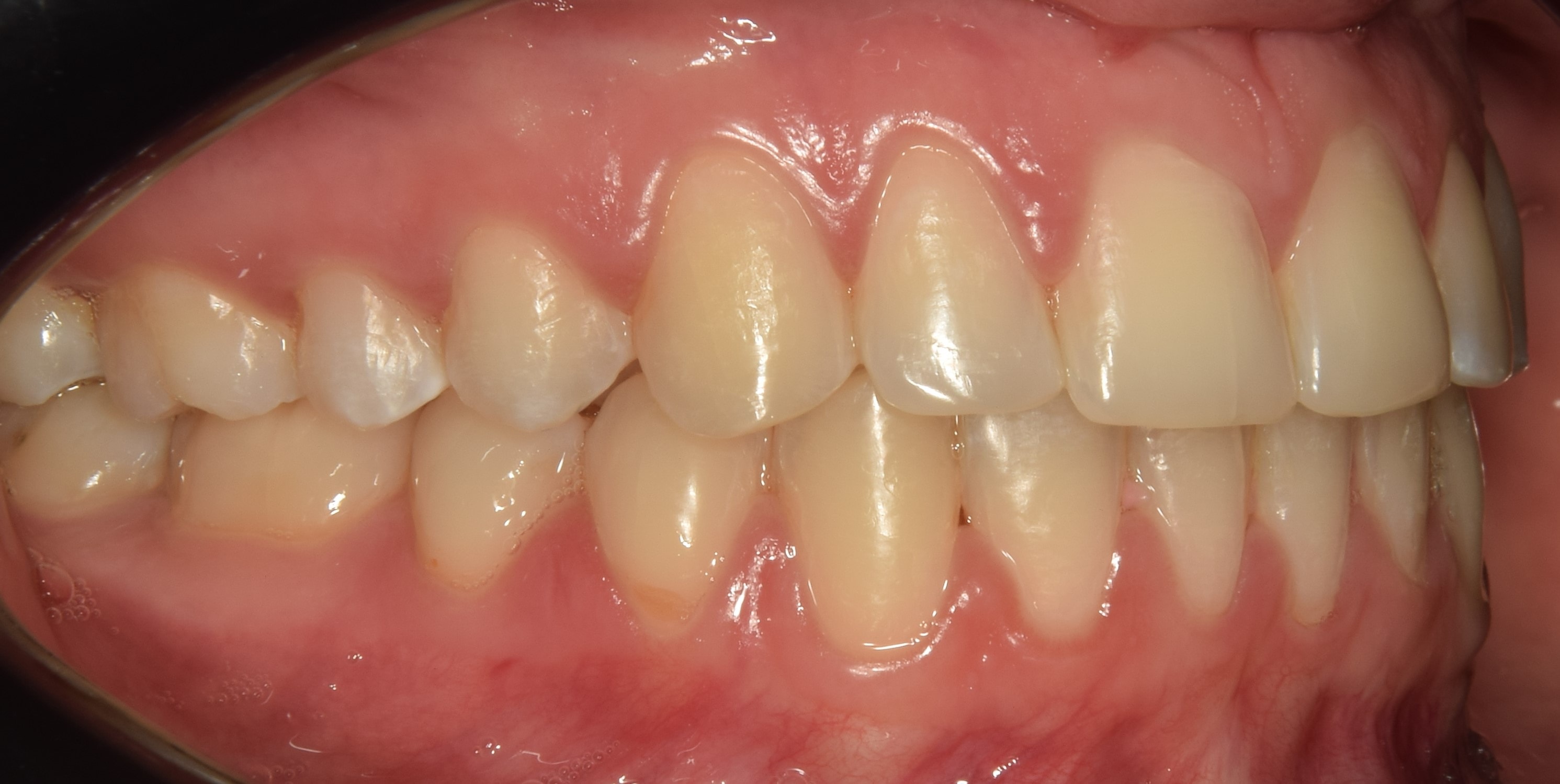
                    Ahhoz, hogy tudjuk osztályozni a fogszabályozási anomáliákat, fontos tudni, hogy
                    jelenleg mit értünk tökéletes harapás (más néven okklúzió) alatt. Ideális
                    esetben ez torlódás- és résmentes fogazatot jelent, mely mind a haránt-, nyíl-
                    és hosszanti síkban is harmonikus. Ebben az esetben a felső első nagyőrlő fogak
                    külső-elülső csücske (mesiobuccalis csücsök) az alsó első nagyőrlő fogak két
                    külső csücske közötti barázdába harap, valamint a felső szemfog az alsó szemfog
                    és első kisőrlő közé harap. A felső fogív körülöleli az alsót, és csupán 1-2
                    mm-rel van előrébb attól (overjet). A felső metszőfogak az alsó metszőfogakból
                    1-2 mm-nél nem fednek többet (overbite).
                  
                  
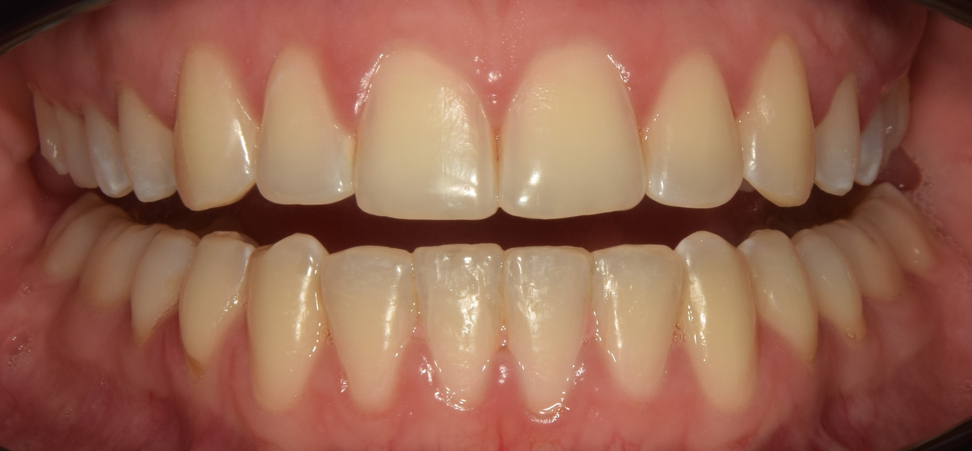
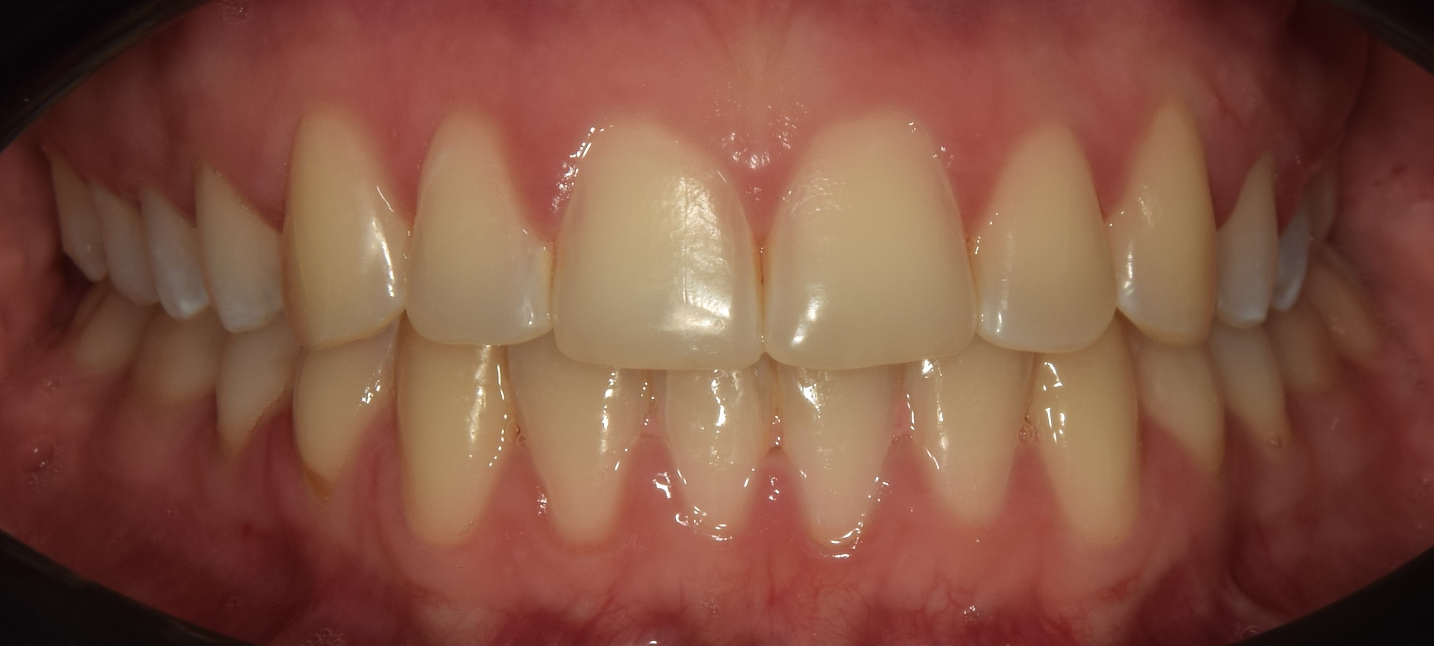
                    Mosolygásnál a felső fogak élére állított vonal követi az alsó ajak vonalát
                    (mosolyvonal), a felső fogak ínykontúrja pedig szinte párhuzamos a felső
                    ajakkal. A felső metszőfogak 100%-a látható mosolygásnál. Nincs ínymosoly, abból
                    maximum 2 mm figyelhető meg a mosolygás során. Az oldalsó ajakzug, tehát az
                    alsó-felső ajak találkozása fogakkal kitöltött.