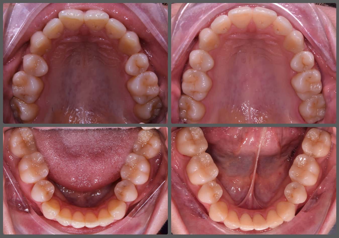
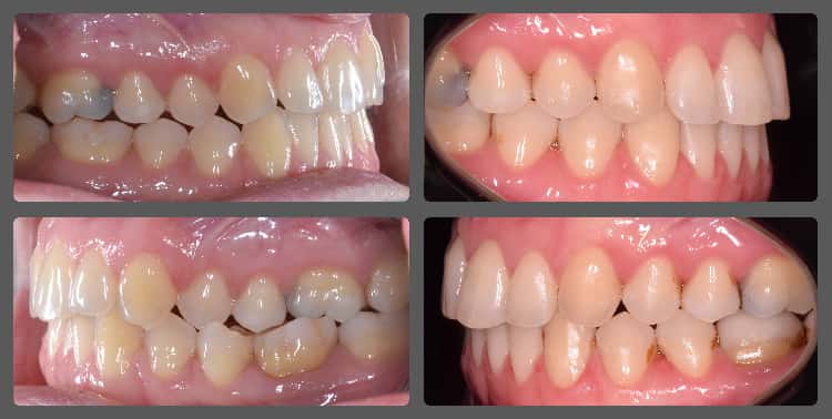
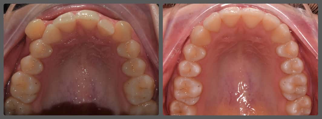
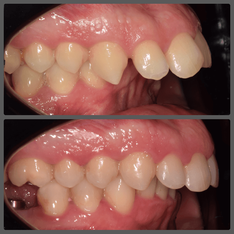
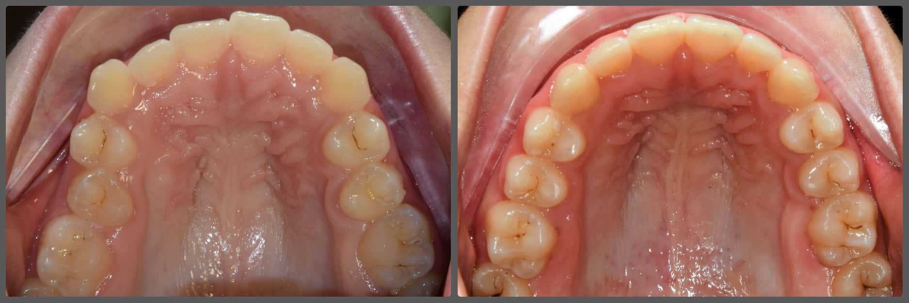
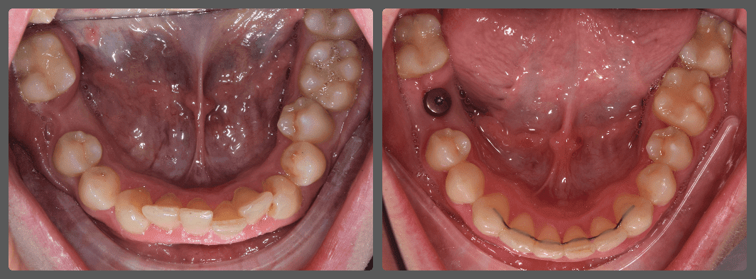
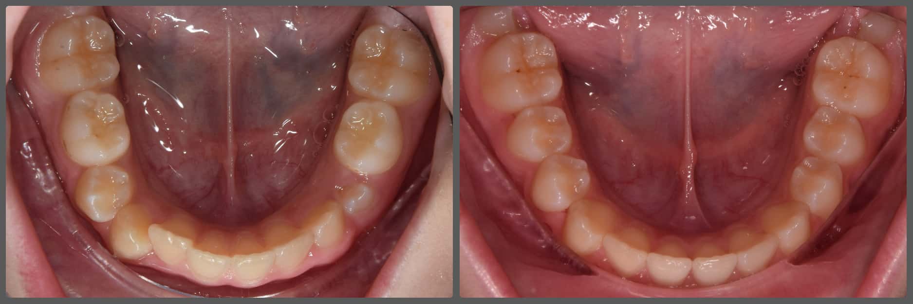
Látványos átalakulások a kezelés elejétől a végéig. A képekre kattintva elolvashatja az esetbemutatásokat, tájékozódhat az egyes kezelések során alkalmazott technikákról.
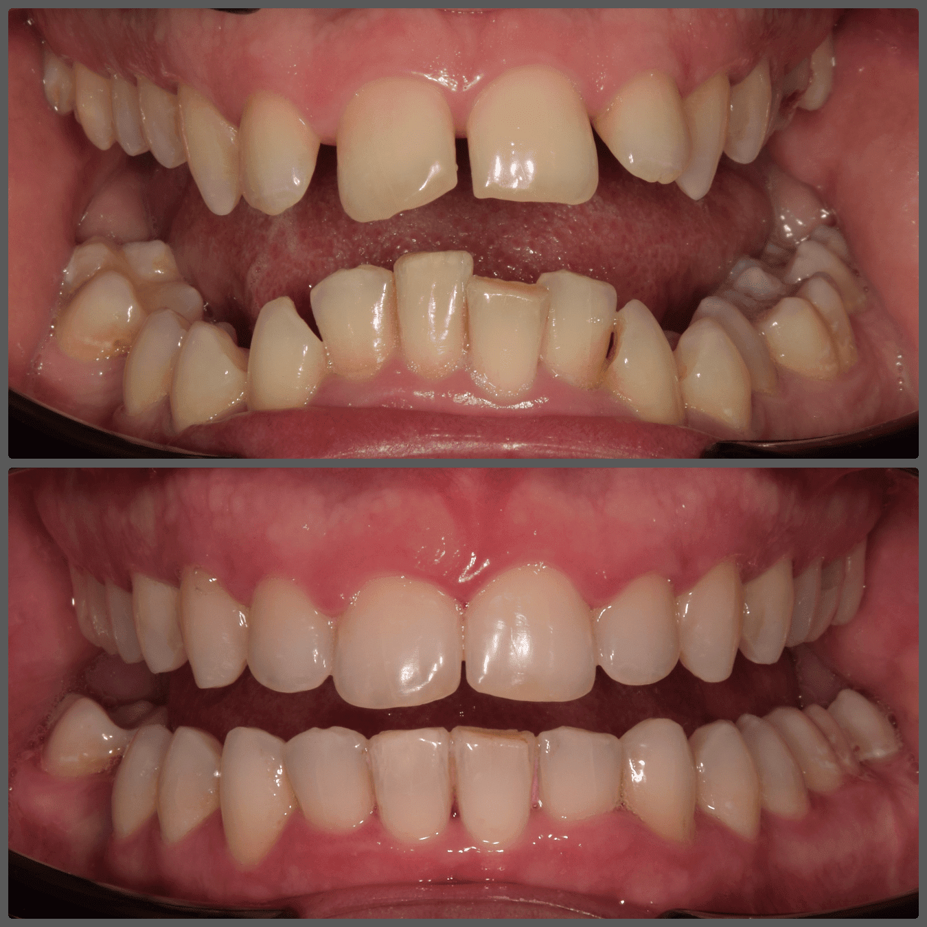
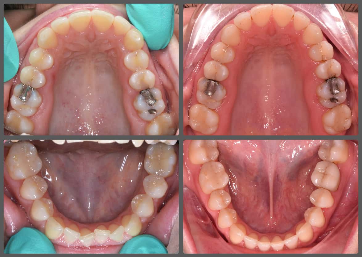
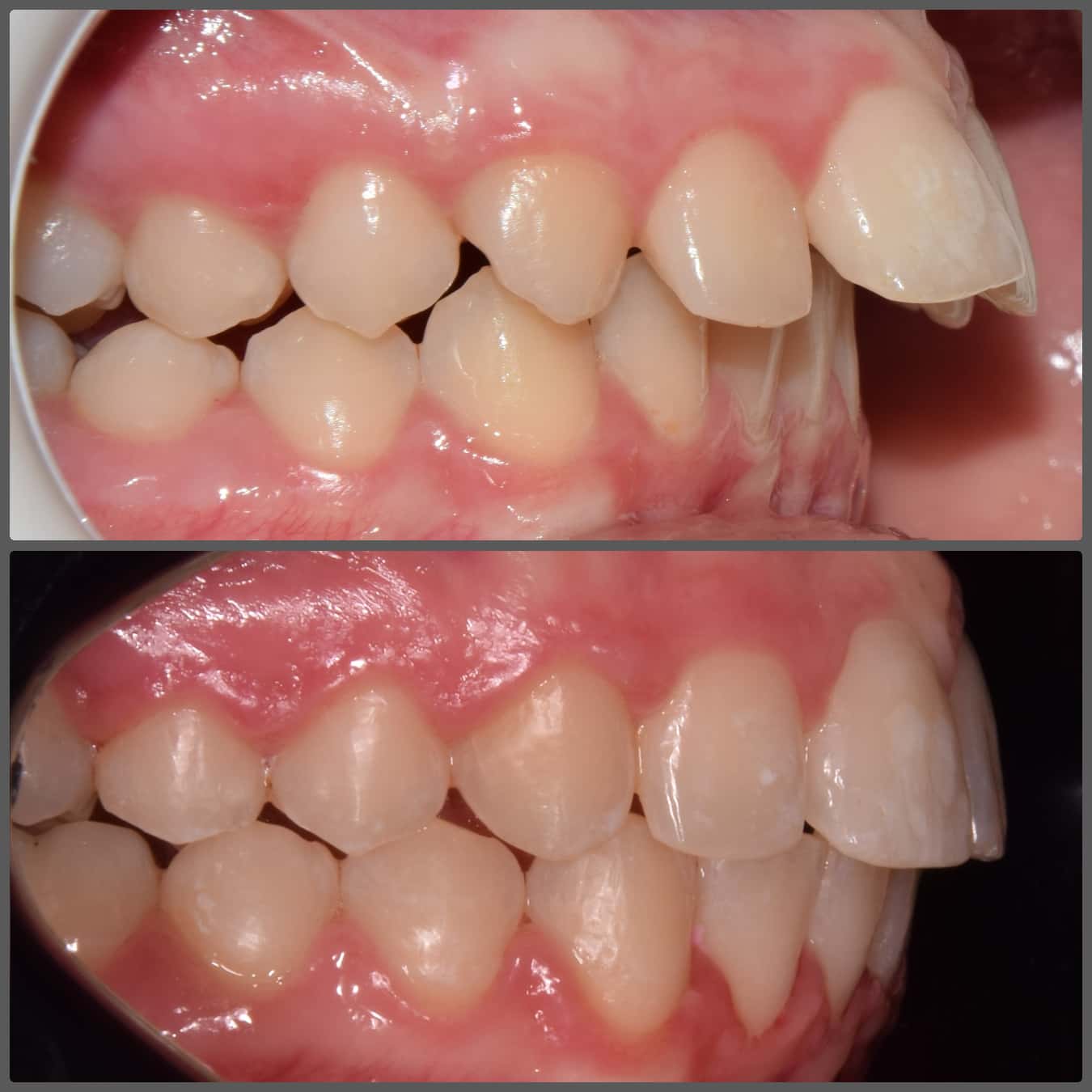
Péter súlyos nyitott harapása miatt szeretett volna fogszabályozót. A kezdeti diagnosztikát követően a nyitott harapáson túl felső fogívszűkületet és enyhe alsó torlódást állapítottam meg. Péternél funkcionális probléma is a felszínre került: nyelvlökéses nyelése volt. A nyelvlökéses kezelés terápiájában logopédus volt segítségünkre, “negatív megerősítésként” pedig a felső metszőfogak belső felszínére ragasztottam nyelvlökés gátló tüskéket. Ilyen esetben a nyitott harapás kezelésénél kulcsfontosságú eldönteni, hogy a harapási eltérés fő oka az állcsontok rendellenes pozíciója, vagy csupán a fogak/fogmedernyúlvány nem megfelelő helyzete. Péter esetében szerencsére főként az utóbbi volt látható, ezáltal nem volt szükség állcsont műtéttel egybekötött fogszabályzó kezelésre. Alsó-felső H4 önligírozó rögzített fogszabályozó készüléket alkalmaztam Péter kezelésénél. A bracketeket az átlagostól “magasabbra”, közelebb az ínyhez ragasztottam. Ez nem csak a mosoly esztétikát javította, hanem a nyitott harapás megoldásában is nagy segítségünkre volt. Péter végig nagyon együttműködő volt, megfelelően hordta az intermaxilláris gumihúzást, és a logopédiai kezelése is szépen haladt, ennek köszönhetően 17 hónap alatt végeztünk a fogszabályzásával! Úgy gondolom, hogy az elért végeredmény kiemelkedően látványos lett!
Bálint a 90 fokban elfordult jobb felső kismetszője miatt keresett meg engem. A vizsgálatokat követően kiderült, hogy a probléma ennél jóval komplexebb: súlyos keresztharapást, súlyos mélyharapást és felső rágósík billenést diagnosztizáltam nála. Alsó-felső H4 önligírozó fogszabályozó készülék, intermaxilláris gumihúzás és elülső harapásemelők segítségével korrigáltuk az eltéréseket. A bal oldali rágósík billenést fogszabályzási miniimplantátum alkalmazásával oldottuk meg. A bal felső-elülső fogakat felfelé mozgattuk, a miniimplantátumhoz húzva. Bálint esete igen komplex volt, ám kiváló együttműködésének köszönhetően 26 hónap alatt végeztünk a kezelésével (beleértve a 2-3 hónapos COVID-19 miatti leállást is). Az eredmény úgy gondolom magáért beszél!
Karolina és szülei fogszabályozási konzultációra érkeztek hozzám. Fő panaszuk a felső torlódása és az elülső nyitottharapás volt. A diagnosztika után egyértelművé vált, hogy Karolina nyitottharapását egyszerű módon is korrigálni lehet, pusztán az elülső fogak lefelé mozgatására van szükségünk. A kezelés során Pitts21 önligírozó fogszabályzó készüléket alkalmaztunk. A nyitottharapás zárását intermaxilláris gumhúzással kezdtük el. Mivel Karolinának egy rossz szokása, nyelvlökéses nyelése is volt, ezért logopédushoz irányítottam a probléma megoldására, valamint a leszokás segítésére nyelvlökést gátló tüskéket ragasztottam a felső metszőfogaira (bocsánat😊). A kezelés 1 év 3 hónapig tartott, úgy gondolom, hogy nagyon rövid idő alatt sikerült igazán gyönyörű végeredményt elérnünk!
Balázs súlyos alsó torlódása miatt keresett fel magánrendelésemen. A diagnosztikus vizsgálatok során előbbin túl alsó-felső fogívszűkületet, valamint nyitott harapási hajlamot állapítottam meg. Kezelését Pitts21 alsó-felső rögzített fogszabályozó készülékkel kezdtük meg. A nyitott harapási hajlamot a hátsó fogakra helyezett harapásemelővel kontrolláltuk. A torlódott fogaknak tolórugóval és interproximális redukcióval teremtettünk helyet, és intermaxilláris gumihúzással tökéletesítettük a harapást. A fogszabályzó kezelés teljes időtartama alatt Balázs 110%-osan együttműködő volt, ezért 21 hónap alatt sikerült kiemelkedő végeredményt elérnünk.
Dani bulldogharapása miatt keresett meg engem, az alsó állcsontja és fogai jelentősen előrébb helyezkedtek el a felsőhöz képest. Tájékoztattam arról, hogy a tökéletes végeredmény elérése az ő esetében fogszabályozással egybekötött állcsont műtéttel lehetséges, azonban Dani inkább egy kompromisszumos megoldást választott az eltérés kezelésére. Alsó-felső Pitts21 készülék felhelyezését követően 2 db fogszabályozási miniimplantátumot helyeztem be az alsó állcsont őrlő régiójába (buccal shelf) és ezekhez a fix pontokhoz hátrahúztuk az alsó fogívet. A végeredmény nagyon látványos lett, és jelentős profilváltozást is sikerült elérnünk a fogszabályozó kezelés végére. A kezelés teljes ideje 1 év 8 hónap volt. A végső állapot megtartására Dani kétféle éjszakai retenciós készüléket is kapott.
Cintia bal oldali keresztharapása és enyhe alsó torlódása miatt keresett meg. Mivel a keresztharapást nem tényleges állcsont szűkület okozta, pusztán a felső oldalsó fogak kedvezőtlen pozíciója, ezért alsó-felső Pitts21 fogszabályozót választottam az eltérések kezelésre. Keresztirányú intermaxilláris gumihúzással szélesítettünk a felső fogíven. Az enyhe mélyharapást harapásemelők segítségével korrigáltuk. Az alsó torlódás feloldását interproximális redukcióval is segítettem. A fogszabályzó kezelés 16 hónapig tartott. Úgy gondolom, hogy igazán szép, funkcionálisan is stabil, esztétikus végeredményt sikerült elérnünk.
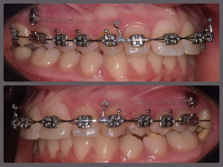
Zoli torlódott alsó fogai miatt szeretett volna fogszabályozó készüléket. Régebben 2 db felső kisőrlő fog eltávolításával már fogszabályozták, azonban az alsó fogív eltérései jelentősek voltak. A torlódás mellé közepes mértékű mélyharapás társult, valamint a bal oldali kisőrlő fogaknál non-occlusiot figyeltem meg. Ez azt jelenti, hogy esetünkben a felső első kisőrlő fog az alsó első és második kisőrlő fog közé, de azok külső felszínére harap. Ez a felső fogat kifelé, az alsókat befelé, a nyelv felé dönti és hosszútávon súlyos elváltozást okoz. Alsó-felső Pitts21 rögzített fogszabályzóval, intermaxilláris gumihúzással, harapásemelőkkel és tolórugókkal Zoli fogait nagyon gyorsan, 13 hónap alatt sikerült tökéletes pozícióba szabályoznunk, mind esztétikai, mind funkcionális szempontból (persze ehhez kellett a töretlen lelkesedése, együttműködése is). A kezelés végén az alsó fogívre fix retainert helyeztem fel az elért állapot megőrzésére. A végeredmény úgy gondolom mindent elmond!
Zoli és szülei fogszabályozási konzultációra érkeztek hozzám alsó torlódása miatt. A közepes mértékű mélyharapáson túl nem diagnosztizáltam jelentős eltéréseket. A nyílirányú síkban tökéletes állcsontviszony volt látható, és a fogívek szélességével sem volt jelentős probléma. Alsó-felső Pitts21 fix önligírozó fogszabályozó készülékkel kezeltem Zolit. A harapást harapásemelők és intermaxilláris gumihúzás segítségével emeltük meg. A kezelés végén az alsó fogívre fix retainert helyeztem fel az elért eredmény megőrzésére. A teljes kezelés csupán 14 hónapig tartott!
Johanna komplex kezelése néhány éve kezdődött. A fogszabályozási konzultációt követően súlyos felső torlódást és helyhiányt, enyhe alsó torlódást, valamint izomtónus problémákat fedeztem fel nála. Johi alsó-felső ajka lapos és vékony volt, hiszen a torlódás miatt nem volt megfelelő támasza a fogak felől. Emiatt a foghúzással járó fogszabályzás nem jött szóba, hiszen megfelelő alátámasztást kellett biztosítanunk az ajkaknak a fogak enyhe előre mozgatásával. A kezelését egy rövid myofunkcionális tréneres fázissal kezdtük, hogy aktiváljuk az ajakizmokat, majd ezt követően egy „D-gainer”-nek nevezett részleges H4 rögzített fogszabályozó készüléket kapott a felső fogívre. Széles fogszabályzó ívek és tolórugók segítségével az első őrlőfogakat hátra, míg az elülső 4 frontfogat előre mozgattuk. Ezáltal helyet nyertünk a szemfogaknak, és gyönyörű profilt értünk el, ahol az ajkaknak megfelelő alátámasztása van, a „beesett” profil teljesen megszűnt. Jelenleg várjuk az összes fog spontán megfelelő helyre történő vándorlását, a készülékeket elhagytuk, csupán egy éjszakai fogszabit alkalmazunk az eredmény megtartásáért. Ha szerencsénk van, megúszhatjuk a jövőbeli teljes rögzített készülékes kezelést. Érdemes végignézni a fotókat, bizony ilyen profilváltozást érhetünk el a fogszabályozással, ha helyes a kezelési tervünk!
Petrát egy kollégám utalta be hozzám fogszabályozási konzultációra az erősen előrefelé dőlt alsó második őrlőfogai miatt. A fogak pozíciója miatt azok tisztítása nagyon nehéz volt, illetve fogászati ellátásuk is igen bonyodalmas. A bedőlt őrlőfogakon kívül enyhe mélyharapást, és enyhe alsó-felső torlódást diagnosztizáltam Petránál. Az eltéréseket Pitts21 rögzített fogszabályozó készülékkel, harapásemelőkkel és intermaxilláris gumihúzással korrigáltuk. A kezelés hossza 1 év 8 hónap volt. Petrának ez már a második fogszabályozó kezelése volt, és reméljük, hogy többre nem lesz szüksége. Ennek érdekében mindent megteszünk, az elért eredmény „rögzítésére” mélyhúzott retenciós sínt adtam Petrának, valamint a végállapotot digitális formában is rögzítettük, ezáltal a jövőben bármikor kérhető erre a szituációra egy új mélyhúzott retenciós sín.
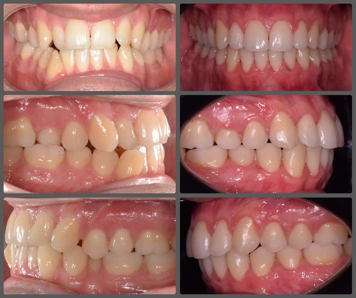
Extrém súlyos alsó-felső torlódása miatt jött hozzám fogszabályozási konzultációra Viki. A korábbi szakvélemények mindegyike foghúzással járt volna. Súlyosan eltolódott alsó-felső középvonalat, súlyos alsó-felső torlódást, mélyharapás, fogívszűkületet és a nyelv felé dőlő fogíveket diagnosztizáltam. Viki harapási és anatómiai adottságai miatt úgy ítéltem meg, hogy a kezelését foghúzás nélkül is végig tudjuk vinni. H4 önligírozó fogszabályzó készüléket ragasztottunk Vikinek, és a torlódott területeken tolórugóval csináltunk helyet a fogívből kiszorított fogaknak. A harapás harmonizálást és a mélyharapás korrekcióját intermaxilláris gumihúzással, valamint harapásemelőkkel végeztük. A teljes kezelés 26 hónapig tartott, melynek végére egy igazán gyönyörű, telt mosolyt sikerült Viki arcára varázsolni, mindemelett a szinte tökéletes oldalsó fogilleszkedést is megtartottuk, tovább javítottuk. Az ilyen látványos változások, páciens átalakulások miatt szeretem a legjobban a munkám!
Beus egy kedves barátom felesége, akit alsó torlódása, és a felső egymásra lapolt nagymetszői zavartak. Alsó-felső fogívszűkületet állapítottam meg. Az enyhe mélyharapását leszámítva harapási eltérést nem diagnosztizáltam, a fogak fogaskerék szerűen illeszkedtek. Pitts21 önligírozó fogszabályozó segítségével feloldottuk az alsó torlódását, a felső metszőfogakat pedig a mosolyvonalnak megfelelően fogszabályoztuk. Időközben kialakult egy enyhe keresztharapás a bal hátsó nagyőrlők területén, ám ezt könnyedén megoldottuk intermaxilláris gumihúzással. A harapást szintén intermaxilláris gumihúzással stabilizáltuk. A kezelés 15 hónapig tartott. Bár a fogszabályozási eltérés megoldása nem volt nehéz, és sokan talán nem is fordulnának fogszabályozó szakorvoshoz ilyen esetben, érdemes megnézni milyen sok pozitív hatása volt az arc- és mosolyesztétikára a kezelésünknek.
Szonja és szülei torlódott fogazata miatt kerestek fel engem a Semmelweis Egyetemen. Az omega formájú, szűk fogívek mellett enyhe mélyharapást és disztálharapást is diagnosztizáltam nála. Alsó-felső hagyományos készüléket ragasztottunk Szonja fogaira, a mélyharapását harapásemelők segítségével korrigáltam, míg a disztálharapás megoldására intermaxilláris gumihúzást alkalmaztunk a fogszabályzó kezelés során. Bár Szonjának szüksége volt egy kis ösztönzésre, ami a gumihordást illeti, mégis rövid idő alatt értünk el gyönyörű eredményt. Látható, hogy a megfelelő diagnózis felállítását követően, helyes technikákat alkalmazva hagyományos készülékkel is nagyon szép eredményt lehet elérni, ráadásul belátható időn belül! Szonja kezelése 17 hónapig tartott.
Michelle és szülei elülső metszőfog torlódás miatt érkeztek hozzám, azonban a diagnosztikus vizsgálatok után kiderült, hogy a helyzet jóval bonyolultabb ennél. Az enyhe felső torlódás mellé jelentős felső fogívszűkület társult, és nyitott harapást is megállapítottam Michellenél. H4 önligírozó készülék segítségével zártuk a nyitott harapást, a felső fogív tágítását pedig intermaxilláris gumihúzással és gombocskák használatával végeztük. A nyitott harapás kezelésére hátsó fogakra helyezett harapásemelőt is kapott Michelle. A kezelés 18 hónapig tartott, a végeredmény pedig úgy gondolom magáért beszél.
Florina alsó foghiányai és enyhe torlódása miatt szeretett volna fogszabályozó készüléket. A felső fogívben jelentős rágósíkbillenést, valamint az alsó fogívben a hiányzó első nagyőrlők helyére bedőlt/előre vándorolt második nagyőrlő fogakat diagnosztizáltam. H4 önligírozó fogszabályzó készülék, harapásemelők és intermaxilláris gumihúzás használatával korrigáltuk a rágósík billenést, illetve az enyhe harapási eltérést. Az alsó második nagyőrlőket tolórugó segítségével ideális pozícióba helyeztük, az első nagyőrlő fogak helyét pedig optimalizáltuk implantációs fogpótlás behelyezésére. A kezelés 13 hónapig tartott.
Sándor esztétikai problémával keresett fel engem, a metsző és oldalsó fogai között található rések zavarták. Leendő fogorvosként tökéletes mosolyt szeretett volna, melyet úgy gondolom, sikerült elérnünk. H4 önligírozó készüléket alkalmaztunk a kezelése során, a réseket pedig mind az alsó, mind a felső fogívben füzérgumival zártuk. Az önligírozó fogszabályozónak köszönhetően nagyon hamar sikerült a részárás. A harapást intermaxilláris gumihúzással tökéletesítettük. A teljes kezelés 18 hónapot vett igénybe (a COVID-19 miatti 2-3 hónap szünetet beleszámolva).
Dóra előreálló felső metszőfogai miatt érkezett hozzám. Kifejezett disztálharapást, mélyharapást és jelentősen előredőlt felső metszőfogakat és szűk alsó-felső fogívet diagnosztizáltam. H4 önligírozó fogszabályozó készüléket alkalmaztam a fogívek tágítására, a felső metszőfogak pozícióját és a harapási eltérést pedig harapásemelőkkel és intermaxilláris gumihúzással korrigáltuk. Dóra hihetetlenül lelkiismeretesen hordta az intermaxilláris gumikat, ezért a kezelés időtartama 13 hónap volt, ami minden várakozásomat felülmúlta.
Pályafutásom elejétől kezdve Kitti volt a fogtechnikusom, és hosszú rágódás után végül úgy döntött, hogy jelentős alsó-felső torlódása, valamint felső foghiánya miatt belevág a fogszabályozásba. H4 önligírozó fogszabályzó készüléket ragasztottunk fel Kittinek, a bal felső szemfognak és a jobb alsó első kisőrlőnek tolórugóval csináltunk helyet. A harapását intermaxilláris gumihúzással tökéletesítettük, enyhe mélyharapását pedig harapásemelők segítségével korrigáltuk. A kezelés 17 hónapig tartott.
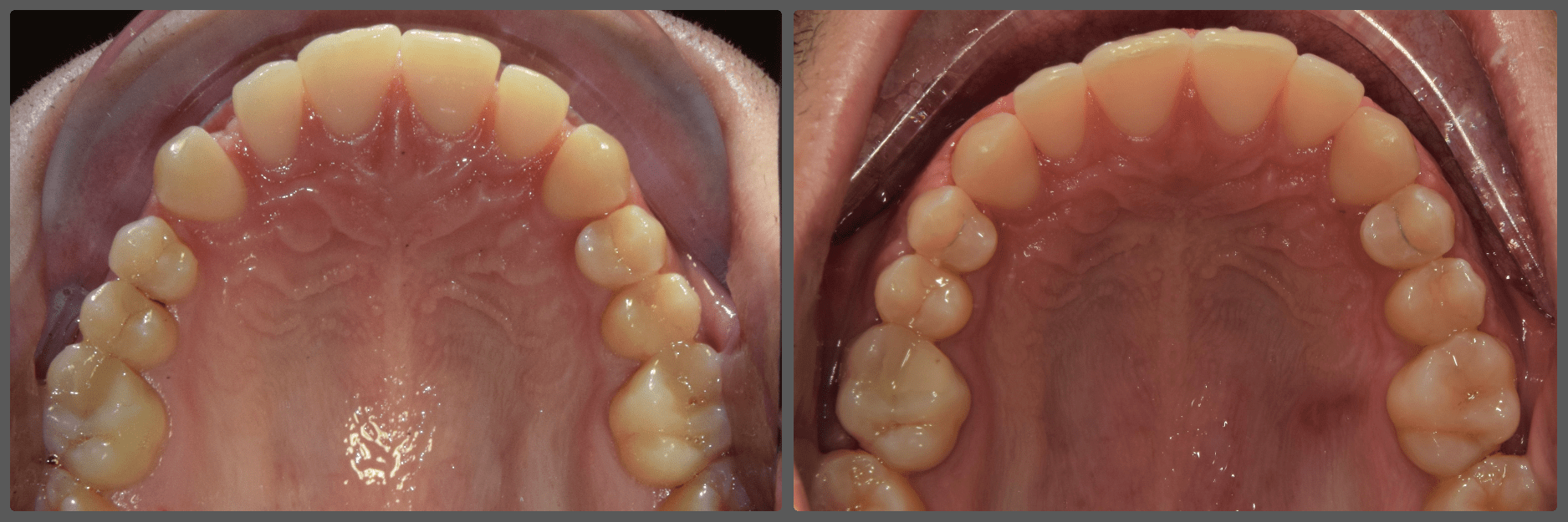
Krisztina alsó foghiánya, és jelentős alsó torlódása miatt keresett fel. A vizsgálatok után kiderült, hogy az alsó fogívben a metszőfogak területén van egy számfeletti foga. Enyhe mélyharapást, és egy-egy fogra lokalizálódó keresztharapást is diagnosztizáltam. A kezelést a számfeletti fog eltávolításával kezdtük, majd H4 önligírozó fogszabályozó készülékkel folytattuk. A számfeletti fog helyén kialakult rést füzérgumival zártuk be teljesen, míg a harapás tökéletesítésére intermaxilláris gumihúzást használtunk, időnként gombocskákat is alkalmaztunk. A bal alsó első őrlőfog helyét előkészítettük implantációs fogpótlás befogadására tolórugó segítségével. A kezelés 16 hónapig tartott.
Sára kifejezett alsó torlódása miatt keresett fel anyukájával. Jelentősen beszűkült felső fogív társult az alsó torlódásához, valamint mélyharapása is jelentős volt. H4 önligírozó fogszabályozó és tolórugó segítségével helyet teremtettünk az ívből kiszorult szemfogaknak, valamint harapásemelők alkalmazásával korrigáltuk a mélyharapást. A harapás megfelelő kialakításához intermaxilláris gumikat használtunk. A kezelési idő 18 hónap volt.
Bettinát a Semmelweis Egyetemen kezeltem, ahol az első fogszabályozási konzultáció alkalmával kiderült, hogy az enyhe torlódása mellé egy jelentős felső állcsontszűkület is társul. Jobb oldalon keresztharapás volt látható. A szűk felső fogív az alsó állkapocs kényszeres elcsúsztatását eredményezte, ami a jelentősen jobbra tolódott alsó középvonalon is jól látszik. A megfelelő diagnózis felállítása után két fázisú (előkezelés, majd rögzített készülékes kezelés) terápia mellett döntöttünk. Bettina kezelését az I. fázisban hyrax készülékkel kezdtük, ennek segítségével megtágítottuk a felső állcsontot, fogívet. A 8 hónapos I. fázist egy gyors, 14 hónapig tartó alsó-felső hagyományos rögzített készülékes kezelés követte. A fix készülékes kezelés során harapásemelőket és intermaxilláris gumihúzást is alkalmaztam a tökéletes végeredmény elérése érdekében. A két fázisú kezelés 22 hónapig tartott. Bettina folyamatos, töretlen együttműködésének köszönhetően úgy hiszem, hogy különösen szép végeredményt értünk el esztétikai és funkcionális szempontból egyaránt.
János a közepes mértékű felső torlódását szerette volna rendezni. Bár a torlódás mellett mélyharapást, aszimmetrikus fogsor záródást és fogívszűkületet is diagnosztizáltam, János végül csak a felső metszőfogak esztétikai kezelését kérte. Láthatatlan fogszabályozó készülék segítségével rendeztük az alsó-felső középvonalat, valamint feloldottuk a felső torlódást. A metszőfogakon kontúrálást végeztem, valamint a jobb felső egyes fogat Dr. Németh Júlia kolléganőm élpótlással egészítette ki. A viszonylag gyors, csupán néhány fog mozgatására fókuszáló esztétikai kezelést igazán szép eredménnyel zártuk.
Lili elsődleges panasza a metszőfogai között látható rés volt, valamint a felső szemfogak pozíciója is zavarta őt. Ezen felül mélyharapást is diagnosztizáltam nála. Alsó-felső H4 önligírozó fogszabályozó készüléket ragasztottunk Lilinek. A felső rések zárásával igen hamar végeztünk. A mélyharapás korrekciójára elülső harapásemelőket használtunk, melyeket a felső első metszőfogakra ragasztottam. A harapás megemeléséhez és a tökéletes fogérintkezés kialakításához intermaxilláris gumikat hordott Lili, melyet eleinte csak ímmel-ámmal viselt, azonban végül sikerült meggyőzni Lilit az intermaxilláris gumik fontosságáról. A kezelés végére 110%-os együttműködéssel mind funkcionálisan, mind pedig esztétikailag nagyon szép eredménnyel zártuk a kezelést. A teljes kezelési idő 26 hónap volt.
Dóra és szülei a fogíven kívülre szorult bal felső szemfog miatt kerestek fel. Jelentős felső torlódást, disztálharapást és enyhe mélyharapást diagnosztizáltam Dóránál. H4 önligírozó fogszabályozó készüléket alkalmaztam, a bal felső szemfognak pedig tolórugó segítségével teremtettem helyet. A harapási eltérést intermaxilláris gumihúzással és harapásemelőkkel korrigáltam. A kezelés 21 hónapig tartott.
Kedves barátom, Laci is kedvet kapott a fogszabályozáshoz, miközben honlapom készítette. A kezdeti diagnosztikus vizsgálatok során súlyos disztálharapást, előreálló felső metszőfogakat, mélyharapást és keresztharapást is diagnosztizáltam nála. Hiányzott a jobb alsó első őrlőfoga is, melynek helye jelentősen beszűkült. Állkapocsízületi kattogásról is beszámolt. A disztálharapás korrekciója kizárólag sebészi fogszabályozó kezeléssel lett volna lehetséges, amit Laci nem szeretett volna, ezért kompromisszumos végeredményt tűztünk ki célul. A mélyharapás jelentős mértékben csökkentettük, megszüntettük a keresztharapást, és az alsó fogívben látható kifejezett Spee-görbét kiegyenesítettük. A kedvezőbb fogérintkezések miatt szerencsére az állkapocsízületi kattogás is megszűnt. A jobb alsó első őrlőfog helyét tolórugó segítségével előkészítettük implantációs fogpótlás számára. A kezelés során Pitts21 önligírozó fogszabályzó készüléket és intermaxilláris gumihúzást használtunk. A teljes fogszabályozás 16 hónapig tartott. A kialakult végeredményt kivehető mélyhúzott retenciós sínekkel és alsó fix retainerrel igyekszünk megtartani. Dr. Márton Alpár szájsebész barátom segítségével a jobb alsó első őrlőfog pótlása is elkezdődött, már a fogszabályzás közben. Köszönöm szépen a szuper honlapot, mosolyogj sokat, Laci!
Zsolti, kedves asszisztensem unokaöccse, felső torlódása, kiálló bal felső szemfoga miatt keresett fel. Mindig nagy megtiszteltetés számomra, amikor kollégáimat és rokonaikat fogszabályozhatom. A vizsgálatok során jelentős felső fogívszűkületet, balra tolódott felső középvonalat, enyhe disztálharapást és mélyharapást diagnosztizáltam Zsoltinál. Pitts 21 fogszabályozó készüléket ragasztottunk a problémák megoldására, a bal felső szemfognak tolórugóval teremtettünk helyet, mellyel egyben a felső középvonalat is beállítottuk. A széles íveknek köszönhetően a felső fogívben jelentős tágítást végeztünk (a fogak, és nem az állcsont szintjén!). A mélyharapást és disztálharapást elülső harapásemelőkkel és intermaxilláris gumihúzással korrigáltuk. Zsolti fogszabályzásának teljes időtartama 20,5 hónap volt. Itt is köszönöm szépen a bizalmatokat!
Dentoalveoláris szájsebész kollégám fogszabályozó kezelésébe még az MDC Dentalban vágtunk bele. Dia elsősorban jelentős mértékű alsó torlódására keresett megoldást, valamint a bal felső első őrlőfog hiánya miatt keletkezett rés is zavarta. A klinikai vizsgálat során alsó-felső fogívszűkületet diagnosztizáltam, valamint nyitottharapási hajlamot figyeltem meg a teleröntgen elemzése közben. Dia fogaira Pitts21 önligírozó fogszabályozó készüléket ragasztottam, majd tolórugóval helyet teremtettünk a bal alsó második kisőrlőfognak. A bal felső első őrlőfog helyét füzérgumival zártuk, amit mind a fog külső felszínén, mind a belső (gombocskák segítségével) felhelyeztünk. A kezelés alatt intermaxilláris gumihúzással megtartottuk a tökéletes harapást. Dia kiváló együttműködésének köszönhetően a kezelés csupán 16 hónapig tartott!
Dorina testvére kezelése után vágott bele a fogszabályozásba. Az előreálló felső metszőfogait, és a növekedésben lemaradt, hátrahelyezett alsó állcsont pozícióját kellett korrigálnunk. A vizsgálat során enyhe felső fogívszűkületet, valamint jelentős disztálharapást diagnosztizáltam. Mivel Dorináék tökéletes időben jelentkeztek, ezért két fázisú kezelés mellett döntöttünk, ahol az első fázisban egy Twin-block nevű kivehető funkcionális fogszabályozó készülékkel helyes pozícióba helyeztük az alsó állcsontot és elkezdtük a felső metszőfogak tengelyállásának korrekcióját. A második fázisban hagyományos rögzített fogszabályzó, extraradikuláris fogszabályozási miniimplantátumok és intermaxilláris gumihúzás segítségével egy igazán szép végeredményt értünk el. Az első fázis 1.5 éven át tartott, a csontnövekedés befejeztéig, majd a második fázis 20 hónap után ért véget. Dorina végig nagyon együttműködő volt, ennek is köszönhető a közel tökéletes eredményünk! Jól látható, hogy a megfelelő kezelési terv felállítását követően hagyományos módszerekkel is gyönyörű mosoly varázsolható a pácienseink arcára.