Rögzített fogszabályozás

Fogszabályozóssá válni nem lehet egyik napról a másikra. Fontos vizsgálatok, elemzések előzik meg a fogszabályozó kezelést. Ezek után készül el a diagnózis, mely meghatározza a fogszabályozás menetét.

A fogszabályozás menete

  1. Első találkozásunk során történik meg a fogszabályozási konzultáció. Elhangzik a kérdés, hogy miért is szeretne fogszabályozót a páciensem, mi az, ami őt esztétikában vagy funkcióban zavarja. Megvizsgálom az állkapocsízületet, az arc és szájkörüli izmokat. Ezután a szájüregi lágyrészek (ajakfék, nyelvfék stb.) vizsgálata történik. A fogakat mind általános fogászati, mind fogszabályozási szemmel megvizsgálom. Azonosítom a tér három síkjában az esetleges eltéréseket (transzverzális sík (keresztharapás), szagittális sík (disztálharapás), vertikális sík (mélyharapás) stb.). Átbeszéljük, hogy mit vár páciensem a fogszabályozástól, mennyi időt, energiát szánna rá, és mekkora anyagi ráfordítást engedhet meg magának.
  2. Amennyiben a konzultáció során úgy dönt páciensem, egy következő alkalommal belevágunk a diagnosztikai folyamatokba. Ekkor elkészítem a szükséges arcfotókat a profil és mosoly elemzéséhez, valamint a fogakról is többféle fényképet csinálok. Ezek egyrészt rengeteg számomra fontos diagnosztikai információt tartalmaznak, másrészt pedig nagyon jó motivációs erővel bírnak a kezelés folyamán. Alsó-felső lenyomatot is veszünk. Ez egy gyurmaszerű anyaggal történik, amit alginátnak nevezünk. Az alginátot lenyomatkanálba helyezzük, ami merev falat képez a folyékony alginátnak (ezek több méretben készülnek, fogív formájúak). A felső lenyomattal kezdünk, általában az a kellemetlenebb érzés. Nyugodtan, orron át kell lélegezni, és egy szempillantás alatt meg is köt az alginát a lenyomatkanálban. Amikor az anyag megkötött eltávolítom a felső fogívről, majd ugyanezt megismételjük az alsó fogíven is. Az időpont végén röntgen beutalót írok az oldalsó teleröntgen elkészítésére, és egyeztetjük a következő találkozónkat is, a kezelési terv megbeszélését.
  3. Az elkészült kezelési terv tartalmazza a lenyomat kiöntése után kapott gipszminta, az arc és szájfotók, a panoráma, valamint az oldalsó teleröntgen elemzését. Ismertetem a diagnózist, és elmondom a lehetséges kezelési opciókat, amelyek közül együtt választjuk ki a leginkább testhezállót. Elmondom, hogy milyen problémák, nem várt események adódhatnak a kezelés alatt, és azokra milyen megoldás van. Amennyiben minden világos, és páciensem úgy dönt, hogy szeretne belevágni a fogszabályozásba, úgy újabb időpontot egyeztetünk, ezúttal már a fogszabályozó készülék ragasztására.

Mi történik a rögzített fogszabályozó készülék felhelyezésénél?

A kezelési terv alapos átbeszélése utáni alkalommal belevághatunk a fogszabályozó kezelésbe, mely rögzített készülék esetén a bracketek felragasztásával indul. Lépései:

  1. A fogakat alaposan letisztítom egy erre a célra kifejlesztett, puha sörtéjű kefével. Általában nem használok fogkrémszerű polírozó pasztát, hogy a fog felszínére véletlenül se kerüljön a ragasztóanyag kötési erősségét csökkentő tényező. A tisztítás után sok vízzel átmosom a fogakat, fogközöket.
  2. Behelyezek egy szájterpesznek nevezett eszközt, aminek segítségével távol tartom a fogaktól az ajkakat és az orcát. Fontos, hogy a fogak külső felszíne megfelelően izolálva legyen a lágyrészektől, nyáltól. Ragasztás közben ezek nem érintkezhetnek a fogfelszínnel, ellenkező esetben ragasztási hiba léphet fel, és spontán, vagy korai bracke leesés történhet. Nyugalom, a szájterpesz sokkal kényelmesebb, mint amilyennek látszik.
  3. A fogak felszínének előkészítését azok savazásával folytatom. Ez kék színű, gélszerű, magas koncentrációjú ortofoszforsavval történik, nagyjából 30 másodpercen át. Ugyanezt használjuk fogtömések készítésénél is. A folyamat lényege, hogy a sav a fogzománc külső felszínét felérdesíti, porózusabb szerkezetűvé teszi, ezáltal megnöveli a ragasztóanyag kötési felszínét, erősségét. A savazott fogfelszín általában ugyanakkora méretű, mint a felhelyezett bracket. Az esetlegesen túlsavazott területek 1-2 óra múlva a nyál ásványianyag tartalmából 100%-osan helyreállnak. A savat alaposan lemossuk és elszívjuk, majd a fogfelszíneket levegővel szárazra fújjuk. Rögzített fogszabályozó készülék ragasztásának kihagyhatatlan lépése.
  4. A megsavazott fogfelszínekre kis ecsetelő pamaccsal egy „bond”-nak nevezett anyagot viszek fel. Levegőt fújok rá, majd fogászati polimerizációs lámpával megvilágítom, hogy a bond megkössön (egyesek ezt a lépést kihagyják, nem feltétlenül szükséges bracketragasztás során). Mi is a bond szerepe? Egy nagyon vékony réteget hoz létre a fogzománcon. Gyakorlatilag úgy fogható fel, mint egy köztes réteg a ragasztóanyag és fogzománc között. Ez a közvetítő, amely a fogzománc réseibe behatol, és a másik oldalról pedig a ragasztóanyaggal is kapcsolatba kerül. Egyes speciális bracket ragasztóanyagok nem igényelnek ilyen bond réteget, mert már önmagukban tartalmazzák (ezeket általában a hátsó őrlőfogaknál használom).
  5. Elérkezett a pillanat, a fényre kötő ragasztóanyagot felhelyezzük a bracket hálózatos szerkezetű talpára, majd a megfelelő fogra helyezem. Először a hátsó őrlőfogakra szoktam felhelyezni a tubusokat, majd ezután előbb a felső, majd az alsó bracketeket ragasztom fel. A tappancsok pozícióját egy erre a célra készített pozícionálóval állítom be. Minden bracketet egyenként világítok meg a polimerizációs lámpával, egyből a pozíció beállítása után (sokan mások előbb több bracketet felhelyeznek, pozícionálnak, majd egyszerre világítják meg őket, ez szintén ízlés kérdése).
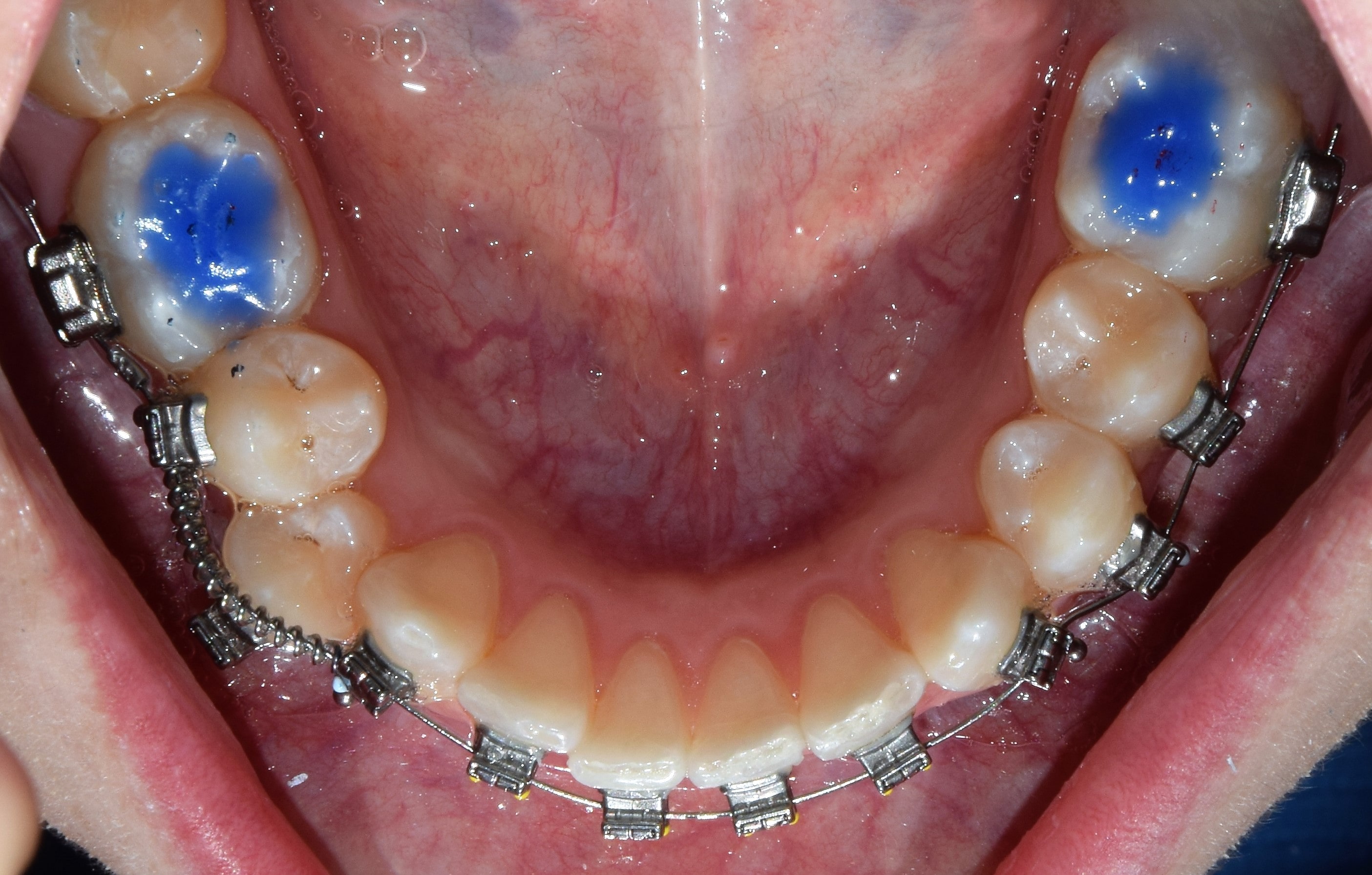
  6. Az összes bracket felragasztása után behelyezzük a fogszabályozó ívet, mely leggyakrabban egy nagyon vékony, kör keresztmetszetű ív. A hátsó fogaknál beállítom az ív hosszát, hogy biztosan ne szúrjon, vágjon.
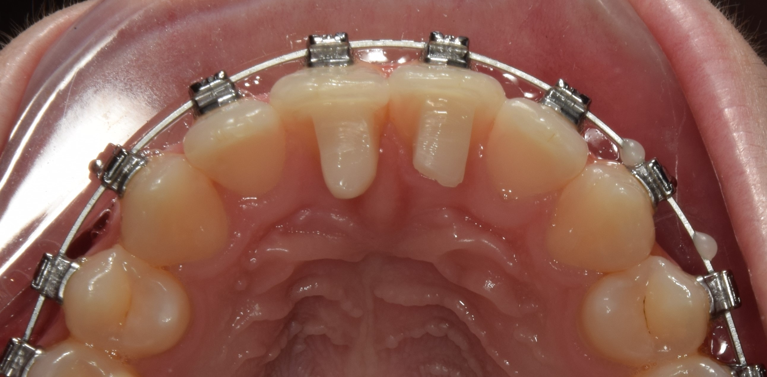
  7. Felragasztjuk a harapásemelőket. Az előkészítés hasonlóan zajlik, mint a bracketek ragasztásánál. Savazás-lemosás-szárítás-bond ecsetelés-megvilágítást követően viszem fel a tömőanyagszerű, sokszor színes anyagot a fogak rágófelszínére, vagy belső, nyelv felőli felületére.
  8. Végül elkészítjük a ragasztás utáni fényképeket, megmutatom, hogyan kell használni az intermaxilláris gumihúzást, és készen is vagyunk.

A ragasztás teljes ideje 1,5-2 óra. Amennyiben a két fogívet külön napon helyezzük fel, úgy 1-1 óra.

Hogy mire kell figyelni pácienseimnek ragasztás során? Végig megfelelően nagyra kell nyitni a szájukat, a nyelvüket lehetőség szerint hátrahúzva – lesüllyesztve kell tartaniuk, valamint stabilan szükséges feküdniük, kerülve a kisebb-nagyobb mocorgásokat.

Mi történik a rögzített fogszabályozó kontroll időpontjain, az „aktiválásokon”?

A fogszabályozó felhelyezését követően átlagosan 4 hetente találkozunk, ekkor történik a fogszabályozó készülék aktiválása. Pontosan mit is jelent ez?

  1. Pácienseim röviden beszámolnak az elmúlt 4 hétről, minden rendben volt-e a fogszabályozóval, vagy történt valami váratlan dolog (pl.: szúró ívvég, bracket leesés)
  2. Átnézem a fogíveket, harapást, megvizsgálom, hogy milyen irányba mozdultak el a fogak
  3. Kinyitom az önligírozó bracketek ajtaját, majd eltávolítom a fogszabályozó ívet. Ez sokszor kellemetlen szaggal jár, mivel a bracketek ajtaja mögötti területet még szájzuhannyal is nagyon nehéz tisztítani. A kinyitott bracketeket átmosom vízzel, szükség esetén homokfúvás is történik.
  4. Ha minden rendben ment, ívet cserélünk. Ez az eddiginél erősebb ív behelyezését jelenti. Az ívet bevezetem a bracketekbe, majd rázárom a bracketek ajtaját, és a hátsó őrlőfogak mögött levágom, lefúrom az ív végét, hogy nehogy szúrjon, vágjon. A kezelés első fázisaiban sokszor ugyanazt az ívet helyezzük vissza a tisztítás után. Ilyenkor hagyjuk, hogy ugyanaz az ív tovább dolgozzon, formálja a fogívet. A kezelés utolsó fázisaiban szintén a befejező íven (béta-titánium ív) végezzük a finomító beállításokat, melyet normális esetben már nem cserélünk a levételig.
  5. Amennyiben szükséges, állítunk a harapásemelőkön. Sokszor előfordul, hogy 4 hét alatt a harapásemelők enyhén elkopnak. Ilyenkor szükséges újraépíteni őket, hogy minden zökkenőmentesen menjen.
  6. Szájfotókat készítünk, majd néhány csomag intermaxilláris gumit adok. Ennek erősségét a kezelés során vizsgáltak alapján határozom meg.

Az aktiválások átlagos ideje 30 perc.

Hogyan zajlik a fix fogszabályozó készülék levétele?

A fogszabályozó kezelések legszebb, legjobban várt napja, amikor végre befejezzük a kezelést, és levesszük a rögzített készüléket. A szép fogakért azonban a végsőkig meg kell harcolni, nem megy ez olyan egyszerűen. A fogszabályozó készülék levételének lépései:

  1. Első lépésben újra átnézem a teljes fogívet, harapást és ha úgy látom, hogy minden tökéletes, akkor egy erre alkalmas bracket eltávolító fogóval a tappancsokat egyenként leszedem a fogakról. Hazudnék, ha azt mondanám, hogy ez a világ legkellemesebb érzése, de nem kell félni tőle.
  2. Ezt követően a fogak felszínéről eltávolítom a bracketragasztót, amivel a bracketek a foghoz rögzültek. Ezt egy volfrám-karbid anyagú speciális fúróval végzem, aminek különlegessége, hogy csak a ragasztót távolítja el a fogról, a fogat nem sérthetjük meg vele. A fúrás jelentős rezgéssel jár, ami igen hangos, viszont semmilyen fájdalmat nem okoz!
  3. A következőkben egy teljeskörű tisztítást végzünk, ahol szükséges fogkőleszedőt alkalmazok, majd homokfúvással tisztítom meg a fogakat. Nem utolsó sorban a homokfúvás pár árnyalatot fehérít is a fogunkon.
  4. Ezután következik a végső polírozás, egy fogkefeszerű eszközzel és nagy szemcséjű fogkrémszerű anyaggal. A végeredmény fehér, csillogó fogak.
  5. Alsó-felső lenyomatot veszünk.
  6. Végül elkészítjük a befejező fényképeket, és készen is vagyunk.

A teljes levétel ideje körülbelül 60-75 perc.

+1. A fogszabályozó levétele után 1-2 nappal adom át a mélyhúzott retenciós síneket, amelyek az elért állapot megtartásában segítenek. Kezdeti hordási idejük egyéni, de legtöbbször az első három hónapban napi 12-14 óra (nem éjszakai fogszabályozók!)

Mi lesz velem a fogszabályozó levétele után?

Pácienseimnek a fogszabályozó levétele után sem hagyom, hogy bár széles mosollyal, de kontrollok nélkül éljék mindennapjaikat. A levétel utáni első, harmadik, és hatodik hónapban találkozunk, ezután pedig fél évente kell kontrollokra járni. Ilyenkor átnézzük, hogy minden változatlanul tökéletes-e, illetve fényképeket készítünk. Mivel fél évente általános fogászati kontroll mindenképp szükséges, érdemes ezt egybekötni a fogszabályozási kontrollal is, és két legyet ütni egy csapásra!

A kontrollok ideje ideális esetben 10-15 perc.

Élet rögzített fogszabályozóval

A fogszabályozó kezelés jelentős életmódváltással jár. Ezek döntő többségében apró, mindennapi rutint megváltoztató dolgok, viszont az mindenképp beszélhetünk egy megszokási időről, ami átlagosan 3-5 nap, maximum 1 hét. A fogszabályozó készülék felragasztása után azonnal tapasztalható:

  • „furcsa” érzés, ahogy a fém tappancsok a lágyrészekhez nyomódnak
  • Fokozott nyálelválasztás
  • Bizonytalan harapási pozíció, állcsonthelyzet a harapásemelők miatt
  • Az intermaxilláris gumik miatt beszűkültnek érzett nyelvtér
  • Beszédnehézség. Kezelése: hangos könyvolvasással a kezdeti beszédnehézség 1-2 nap alatt megoldható. Ezzel elősegítjük a lágyrészek, izmok, nyelv adaptációját az új helyzethez.
Pár nap után érezhető:
  • Kezdeti fogmozgatásból eredő fogérzékenység, ritka esetben fájdalom. A Pitts21 fogszabályzóval ez a fájdalom jóval kisebb, mint hagyományos rendszerek esetén. Kezelése: szükség esetén enyhe fájdalomcsillapítóval.
  • A bracketek kikezdik a nyálkahártyát, fájó sebek jöhetnek létre. Kezelése: a kapott fogszabályzási viaszból egy kis gombócot nyomunk a bracketre. Ha lejön, nem probléma, megehetjük, lenyelhetjük nyugodtan.
  • Nehézkes étkezés a harapásemelők miatt
  • A megszokás elkezdődik, javul a beszédkészség, az ideiglenes beszédhibák elmúlnak
  • A nyálelválasztás helyreáll

3-5 nap elteltével hozzászokunk a fogszabályozó készülékhez. Az első 3-5 nap a kritikus, senki ne demotiválódjon a sok-sok macera, kellemetlenség ellenére sem. A szép fogakért bizony meg kell dolgozni mindkettőnknek.

Mit lehet enni fogszabályzóval?

A fogszabi étkezési megszorításokkal jár, de nem kell mindenről lemondanunk! A fogszabályozó felhelyezését követően, valamint az aktiválások után ajánlatos puhább ételeket enni, mint például leves, főzelék, tejberizs, rántotta, burgonyapüré, piskóta, joghurt, sajtok, puha gyümölcsök, tészta stb. A fogszabályozó felhelyezése után nem javaslom, hogy nagyon rágós ételeket együnk, illetve kerülni kell a jégkrém, fagyi fogyasztását is, mert a fogak hidegre fokozottan érzékenyek lehetnek.

Ha túl vagyunk az első néhány nehezebb napon, onnantól szinte mindent ehetünk, amit fogszabályzás előtt. Fontos odafigyelni arra, hogy lassan együnk, óvatosan őröljük az ételt. A rohanó-kapkodó rágás könnyen bracket leeséshez vezethet. Tiltó listán lesznek azok az ételek, amik túl kemények, ropogósak, vagy éppen ragadósak. A kemény kaják letörhetik, a ragadósak leránthatják a tappancsokat. Ilyenek például: magvak (dió, mogyoró, mandula), popcorn, kemény chipsek, keksz, keményre sült sültkrumpli/rántott hús, alma, kenyérhéj, szárazabb kifli, pirítós, pizza széle, kemény cukrok, karamell stb. Ha almát, vagy szendvicset eszünk, akkor lehetőleg daraboljuk fel elfogyasztás előtt, akkor nem lesz gond! Rágógumi helyett mentolos cukorkát javaslok, a rágó nagyon bele tud ragadni a fogszabiba, amit utána nehéz eltávolítani, kb. lehetetlen küldetés.

Ha az előírásokat nem tartjuk be, a fogszabályozó ív kijöhet a helyéről, szúrhat, a tappancsok leeshetnek, a száj nyálkahártyája megsérülhet!

A teljes fogszabályozás alatt csökkenteni kell a cukros ételek-italok fogyasztását, mivel ezek fokozhatják a fogszuvasodás kialakulásának valószínűségét. Minden étkezés után alaposan fogat kell mosni! Ez a legfontosabb!

Hangszeren játszom, mit tegyek?

Jó hírem van! A fogszabályozó készülékek a kezdeti megszokási időszakot leszámítva nem befolyásolják jelentős mértékben sem a hangképzést, sem pedig a fúvós hangszereken játszást. Mind rögzített, mind láthatatlan fogszabályzó készülékkel lehet énekelni, trombitálni, fuvolázni stb. A zongoráról nem is beszélve! 😊 Néhány napos intenzív gyakorlást követően a kezdeti problémák megoldódnak, és minden szinte a régi kerékvágásban megy tovább. Ha valaki mégis nagyon aggódik, akkor javaslom, hogy a láthatatlan fogszabályozó mellett döntsön, amit a kritikus pillanatokban (fellépés, gyakorlás) egy mozdulattal eltávolíthat, majd visszahelyezhet.

Sportolás fogszabályozóval

Fogszabályozóval nem jelent gondot a sport sem. Nyugodtan folytathatunk bármilyen sportot, amit előtte is űztünk, csupán biztonsági intézkedéseket kell tegyünk. Olyan tevékenység esetén, ahol az arcunkat ütés érheti, mindenképp ajánlott fogvédőt viselni! Ezek lehetnek sablon, fogszabályozósok számára gyártott fogvédők, amiket meleg vízzel lehet adaptálni saját fogsorunkra, vagy lehetnek lenyomat alapján a fogtechnikus által készített speciális, egyéni fogvédők. Általában a sablonnal kezdünk, mivel az jóval olcsóbb, viszont ha az nem megfelelő, megkérjük a fogtechnikust, hogy csináljon egyéni fogvédőt.

Leesett egy tappancs (bracket), mi a teendő?

A fogszabályzás során előfordulhat, hogy egy tappancs leesik. Ez főként az alsó állcsonton történik meg. Ilyenkor a lehető leghamarabb fel kell keresni a kezelőorvosunkat, hogy a leesett bracketet visszaragassza. Minél közelebb vagyunk a kezelés végéhez, annál hamarabb kell cselekedjünk. Ha nem vesszük észre, vagy nem jelezzük időben a rendelő felé a problémát, akkor nem kívánatos fogmozgások léphetnek fel, amik meghosszabbíthatják a kezelési időt. A leesések okáról bővebben olvashat a „Tabuk a fogszabályozásban” cikkemben.

Leesett a harapásemelőm, mit tegyek?

A leesett harapásemelő miatt azonnal keressük fel kezelőorvosunkat, hogy minél hamarabb visszahelyezze harapásemelőnket. A harapásemelő leesése kényelmetlen, aszimmetrikus pozícióba vezetheti állcsontunkat, valamint bracketek leeséséhez vezethet.

Szúr az ív vége, mit tegyek?

Az ív vége igen fájdalmasan, és kellemetlenül tudja szúrni a nyálkahártyánkat, lágyrészeket. Általában a leghátsó fogak mögött jellemző. Önligírozó rendszereknél a nagyon alacsony súrlódás miatt sokszor az ív magától is elcsúszik. Megoldás:

  1. Kezdésnek megpróbálhatjuk az ívet megragadni (szemöldökcsipesz), és ellenkező irányba húzni/tolni. Vigyázzunk, hogy a nagy erőlködésben nehogy leverjünk egy szomszédos tappancsot.
  2. Jelezzük kezelőorvosunknak a problémát, és addig is helyezzünk egy kis gombóc viaszt a problémás területre.
  3. Végső esetben, és csakis végső esetben meg lehet próbálni egy körömcsipesszel az ív végét levágni. NAGYON vigyázzunk a bracketekre!

Elhagytam (vagy elfogyott) az intermaxilláris gumimat, hogyan tovább?

Minél hamarabb menjünk be a rendelőbe, hogy új csomag gumit kérjünk. Célszerű már azelőtt megejteni ezt, mielőtt teljesen kifogynánk intermaxilláris gumikból. Ehhez nem szükséges külön időpontot kérni.

Elviselhetetlen fájdalmam van, mi a megoldás?

Ha rendellenesen nagy, elviselhetetlen fájdalmat érzünk, amitől már aludni sem tudunk, akkor mihamarabb keressük fel kezelőorvosunkat! Lehetőség szerint a vizsgálat előtt ne vegyünk be fájdalomcsillapítót, hogy jobban ki lehessen vizsgálni a fájdalom eredetét, jellegét.

Copyright © 2020 Dr. Szegedi Levente | Minden jog fenntartva.