Kivehető fogszabályozó készülékek a gyermek fogszabályozásban I. – Passzív és aktív lemezek

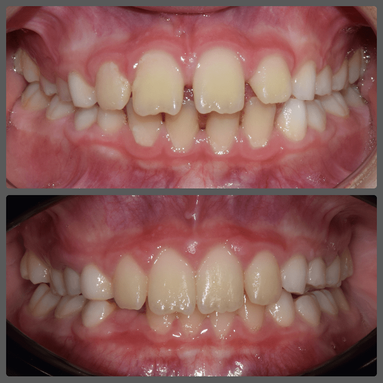
A kivehető készülékek legegyszerűbb csoportját az aktív vagy passzív lemezek képezik. Előszeretettel alkalmazzuk az aktív lemezeket a gyermek fogszabályozásban. Legtöbbször valamilyen egyszerűbb előkezelést szoktunk végezni segítségükkel (tágítás, harapásemelés, helyfenntartás).

A kivehető fogszabályozó lemezek akrilát műanyagból készülnek. Rögzülésüket egyrészt a lemez kialakítása, másrészt a lemezbe épített acélívből hajlított elemek biztosítják. Leggyakrabban az első őrlőfogakon található ilyen acélívből hajlított „kapocs”, továbbá szemfogtól-szemfogig kiterjesztve láthatjuk az elülső acélívet (labiálív). Tehát alapesetben adott egy akrilát lemez, egy elülső labiálív, és oldalanként egy-egy őrlőfogra illeszkedő kapocs.

Passzív lemezek

A passzív lemezek nevüket is onnan kapták, hogy fogmozgatást nem végeznek, velük csak nagyon minimális fogszabályozó tevékenység végezhető. Passzív lemezt nem használok a praxisomban, egyesek a fogszabályozó kezelés befejezése után szokták alkalmazni az elért eredmény megtartására. Én erre a célra egy mélyhúzott, átlátszó fóliából készült fogszabályzót használok.

Aktív lemezek

Az aktív lemezek olyan kivehető fogszabályozó készülékek, melyek különböző aktiválható elemeket (rugó, csavar) tartalmaznak, így kiválóan használhatók egyszerűbb fogmozgatásokra. Leginkább „éjszakai fogszabályozó” néven ismertek, viszont az előírt hordási idejük ennél általában több, nagyjából 10-12 óra. A leggyakoribb aktív elem a fogszabályzó lemez közepén található csavar. Az ilyen készüléket tágítócsavaros lemeznek nevezzük. A csavar a páciensek által könnyen tekerhető, tekerésre pedig szélesedik, ezáltal a fogszabályozó készülék tágul, és így megfelelő együttműködés mellett képesek vagyunk a fogíveket tágítani. Fontos megjegyezni, hogy ez a tágítás NEM egyenlő a felső állcsont tágítással! A kivehető készülékek kizárólag a fogívek tágítására alkalmasak (a fogak oldalsó irányba történő döntésével), a felső állcsont tágítására nem. A csavarok általában a készülék közepén helyezkednek el, de a csavar pozíciója az adott eset szerint módosítható.

A csavarokon kívül rugók is építhetők az aktív kivehető készülékekbe. Ezek a rugók/karok általában az elülső fogak közötti rések összezárására használatosak (záró rugók). Ilyen célra én nagyon ritkán alkalmazom őket, mivel az aktív lemezekkel végzett részárás ritkán ad megfelelő végeredményt. Ilyenkor gyakorlatilag csak a fogak koronai részének egymás felé döntése történik. A rugók, karok kiválóan használhatók az oldalsó fogak területén a különböző rések megtartására, visszanyerésére (nyitó rugók). Például egy korai tejfogeltávolítást (lsd. a képen) követően ilyen karok segítségével a foghiány mérete megőrizhető, a szomszédos fogak vándorlása megelőzhető.

A kivehető fogszabályozó készülékek alapját képező akrilát műanyag is számos fogszabályozási eltérésnél lehet segítségünkre. Például mélyharapás esetén gyakran kérjük a felső kivehető aktív fogszabályzót egy kis kiegészítéssel. Ilyenkor a felső metszőfogak mögötti területet teljesen feltölti a fogtechnikus akriláttal (egészen az elülső fogak éli részéig). Ennek köszönhetően, ha a készülék szájban van, kizárólag az alsó metszőfogak fognak hozzáérni a felső fogszabályozóhoz. Mivel az alsó oldalsó fogak nem érintkeznek majd felső harapó párjukkal, ezért szépen lassan elkezdenek feléjük vándorolni, egészen addig, amíg létre nem jön a kívánt fogérintkezés az alsó-felső oldalsó fogak között. És korrigáltuk is a mélyharapást, ráadásul már gyermekkorban!

Az aktív lemezek kialakításának csak a képzelet szab határt, nagyon sok esetben használhatók sikerrel, viszont fontos szem előtt tartani, hogy főként egyszerűbb, kismértékű fogmozgatásokra tervezték őket. 99%-ban a gyermek fogszabályozásban használjuk őket, a rögzített készülékes fogszabályzás előtt. Segítségükkel a rögzített fogszabályozós kezelés ideje csökkenthető, sikeressége növelhető.

Copyright © 2020 Dr. Szegedi Levente | Minden jog fenntartva.