Kivehető készülékek a gyermek fogszabályozásban – Myofunkcionális trainerek

A különböző harapási eltérések leggyakoribb oka a fej-nyaki komplexumban található izmok egyensúlyának elbillenése. A legtöbb esetben ez egybefügg a nem megfelelő légzési habitus fennállásával. A szájon át légző (orrlégzés helyett) gyermekek esetében rossz, hátsó pozícióba kerül az alsó állcsont és a nyelv, inaktiválódnak az orr körüli izmok stb. ez pedig az izomegyensúly megbomlásához, majd akár súlyos fogszabályozási eltérések kialakulásához (felső állcsontszűkület, keresztharapás, nyitott harapás, disztálharapás) vezet.

Akár izom diszfunkció, akár genetikai öröklés, akár egyéb tényező okoz fogszabályozási eltérést, annak korai felismerése esetén nagyon jó esélyekkel „szállunk harcba” a tökéletes mosoly és ami még fontosabb arcprofil eléréséért.

Gyermekkorban sokan alkalmazzák előszeretettel az úgynevezett myofunkcionális trénereket, melyek egy szilikon blokkból állnak, amelybe az alsó-felső fogívnek előre kialakított helye van.

Ezek a készülékek számos, a lágyrészek-izmok fejlődésére kedvező hatással bíró kiegészítő elemet tartalmaznak:

  • a nyelvpozícionáló „pöcök” segíti a nyelv helyes pozícióba történő vezetését
  • az ajkakat eltartó szilikon kiterjesztés segíti az ajakizomzat tornáztatását, ugyanakkor eliminálja az ajkak által a fogakra gyakorolt nyelv irányába nyomó erőket
  • a fogaknak nincs kialakított helyük, csupán „vezetők” vannak, amelyek a fogváltás folyamata során segítik a maradófogak helyes pozícióba való előtörését

A myofunkcionális trénerek lényege, hogy egy olyan ideális fogívformát igyekeznek kialakítani, amely egyensúlyban van a fogak körüli izomzattal, így biztosítva a hosszútávú stabilitást. Tökéletesen használhatók nyitott harapás kezelésére, enyhe disztálharapás esetében, vagy enyhe meziálharapás esetén a növekedés kontrollálására.

Egy videó többet mond 1000 szónál:

A készülékek előírt hordási ideje kb. 10 óra / nap. Ez 8 óra alvásból, valamint 2 óra napközbeni viselésből áll össze, mikor különböző aktív izomgyakorlatok kell végeznie kis pácienseinknek. Ezek az izomgyakorlatok segítenek az arcfejlődés szempontjából legfontosabb izmaink aktivizálásában, erősítésében. Mik is ezek az izomgyakorlatok?

  • A készülék viselése során fontos a kizárólagos orrlégzés!
  • Az ajkakat végig egymáshoz szorítva, zárt pozícióban kell tartani!
  • Nyelés során a nyelvet az erre a célra kialakított „nyelvpöcök” mögé kell helyezni, nyelések között pedig szintén ez a legelülső pozíció, ahová a nyelv kerülhet!

Légzési gyakorlatok

Nyelési gyakorlatok

Joggal érezhetik, hogy a myofunkcionális trainer egy olyan fogszabályzó készülék, ami szinte minden fogszabályozási eltérés esetén sikerrel alkalmazható, azonban mint mindent, ezt a fogszabályzót is fenntartásokkal kell kezelni. Amennyiben helyes indikációval alkalmazzuk őket, és megfelelően kooperáló pácienshez van szerencsénk, úgy nagyon látványos eredményeket érhetünk el, ráadásul rövid idő alatt! Ellenkező esetben sajnos elmarad a “csoda”.

Nézzünk néhány látványos esetet, ahol pár hónap alatt is óriási változást sikerült elérnünk:

Aisa myofunkcionális trainernek köszönhető átalakulása

Ádám keresztharapásban lévő tej szemfogának korrekciója, helyes növekedési irány biztosítása myofunkcionális MyoBrace trainerrel

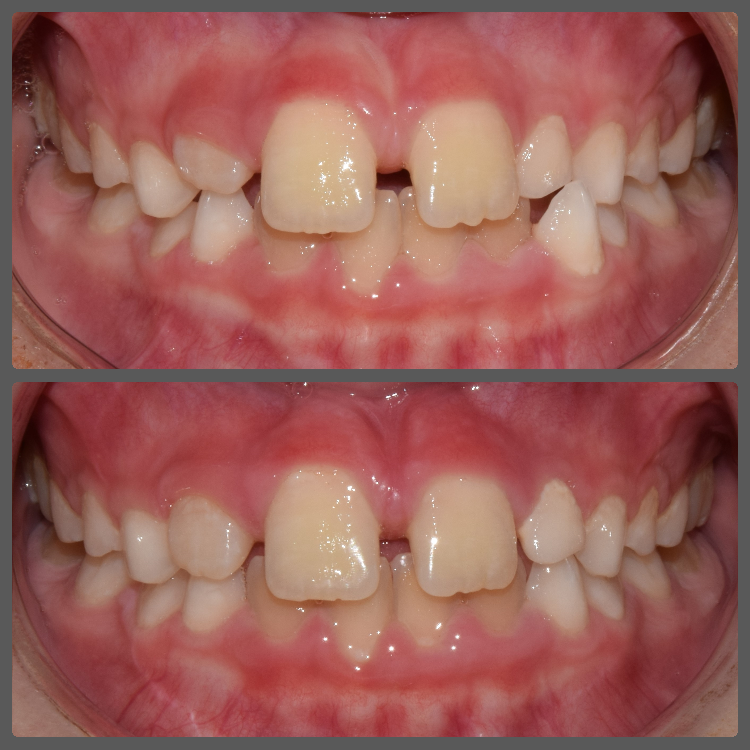
Eszter előreálló felső metszőfogainak korrekciója myofunkcionális MyoBrace trénerrel

Copyright © 2020 Dr. Szegedi Levente | Minden jog fenntartva.