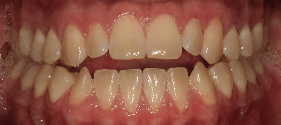
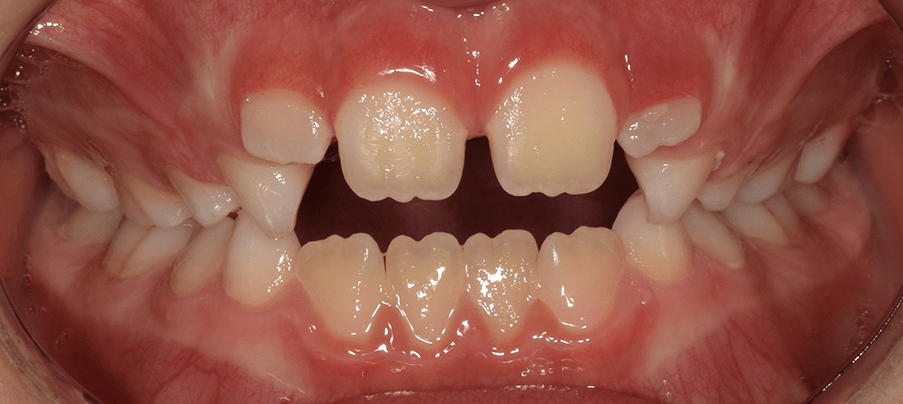
Nyelvlökéses nyelés

Napjainkban megdöbbentően gyakran előforduló, 4 éves kor után rendellenesnek mondható nyelési forma. Normális esetben a nyelv nyeléskor a szájpad elülső-felső részére fekszik fel, szétterül. A metszőfogakat nem érinti. Nyelvlökéses nyelése esetén a nyelv benyomul a metszőfogak közé. Számos vita van arról, hogy a nyelvlökéses nyelés bizonyos harapási eltérések oka vagy következménye. Saját véleményem szerint a rossz funkció igenis vezethet fogszabályzási problémákhoz. Képzeljük csak el, naponta 1500-2000-szer nyelünk, és ekkor a nyelv igen nagy erőt fejt ki a környező fogakra, szájpadra. Ez a nagy erővel történő gyakori stimulus hosszú távon nem kívánatos fog elmozdulást okozhat. A felső metszőfogak előre dőlnek, rés nyílhat közöttük, továbbá nyitottharapás is kialakulhat.

Számos páciensnél a nyelvlökéses nyelés valóban következmény. Ujjszopás miatt kialakuló nyitottharapásos esetekben a páciens csak úgy képes megfelelően nyelni, ha az ujjszopás miatt keletkezett elülső résbe betolja a nyelvét. Ilyenkor a nyelvlökéses nyelés bizony tényleg következmény, továbbá jelentős fenntartó erő. Az ujjszopás megszűnésével a nyitottharapás magától javulhat, de amíg a nyelést nem korrigáljuk, nem oldódhat meg teljesen.

A nyelvlökéses nyelés teljes megszüntetéséhez jelentős együttműködés kell

Első körben minden esetben logopédus kollégát vonok be a kezelésbe, akivel közösen megtanulják a gyerkőcök, hogy hogyan is kell helyesen nyelni. Számos gyakorlatot, házi feladatot kapnak a mozdulatsor rögzítésére, betanulására. Fontos, hogy a folyamat kontrollálva legyen. Megadott időközönként vissza kell járni a logopédusunkhoz és ellenőrizni kell a nyelésformát, tovább kell haladni a gyakorlatokkal. Amikor a rossz szokást korrigálása elkezdődött, akkor kerül képbe a fogszabályozás. Különböző fogszabályozó készülékekkel a fogakat eredeti pozíciójukba mozgatjuk, a kialakult réseket zárjuk, tovább javítjuk a nyelésformát, helyreállítjuk az izomegyensúlyt.

Számos készüléket használok, amelyek valamilyen módon tovább ösztönzik a gyerekeket a nyelv helyes pozícióban tartására (blue grass, egyszerű kivehető fogszabályzó készülékek, myofunkcionális trainer). A két szakág együttesen sikeresen képes kezelni a nyelvlökéses nyelést és számos más funkcionális problémát, viszont minden terápia alapja ilyen esetben az együttműködő páciens.

Copyright © 2020 Dr. Szegedi Levente | Minden jog fenntartva.